MedicalVisualization
Angiography Example
← Angiography | ● | MIPt →
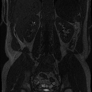
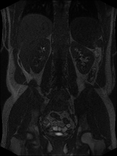
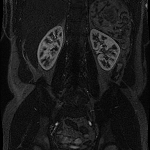
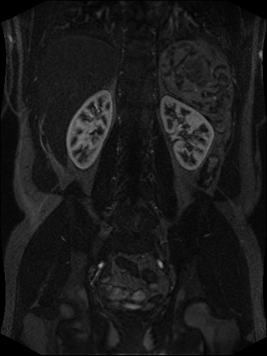
Example of MR Angiography with recording time before and after contrast agent infusion, respectively:
What do we see: Mainly kidneys, liver and and main supporting vessels aggregate contrast agent.
← Angiography | ● | MIPt →

