MedicalVisualization
CT Example Data
← PVM | ● | MRI Example Data →
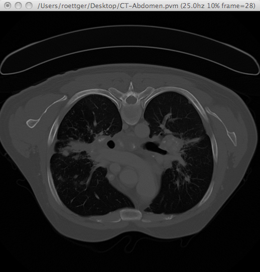
Example CT data of a human male body:
http://volume.open-terrain.org/CT-Abdomen.pvm
Demo display with the $V^3$ pvmplay tool:

← PVM | ● | MRI Example Data →