MedicalVisualization
MRI Example Data
← CT Example Data | ● | 2D Visualization Tools →
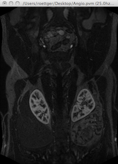
Example MRI angiography scan of a human male body:
http://volume.open-terrain.org/Angio.pvm
Demo display with the $V^3$ pvmplay tool:

← CT Example Data | ● | 2D Visualization Tools →